医院动态

医院动态

【讲述医生故事 体现责任担当】心内科主任彭描宇:生命线上的守护者
作者:宣传科 来源:医院官方微信公众号 发布时间:2020-07-03 浏览:

用微信扫描二维码
分享至好友和朋友圈

×
        一颗心脏连接的是患者的健康和几个家庭的幸福,娄星区人民医院(娄星区妇幼保健院)有一双巧手,他施以精湛的技艺,将数以千记的患者成功从死亡线上拉下来,数千个家庭因他重获幸福,他就是医院心血管内科主任、主任医师彭描宇。
 
 
急诊PCI术为心梗患者
    打开“生命之门”
 
 
        记得那是2019年的10月13日的一个下午,刚好是周末休息日,急诊科接诊了一名40多岁的中年妇女,当日上午8点左右,患者在睡觉时突发剧烈胸痛、恶心呕吐,且持续不缓解,11点左右她自行购买了胃药服用,但胸痛现象持续没有缓解,直到7个小时之后患者实在不能忍受,才由家属紧急送往我院急诊科就诊。
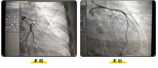
        结合患者症状、急诊立即行心电图等检查,诊断为"急性广泛前壁心肌梗死",急诊科医生立即电话通知心内科主任彭描宇,彭描宇接到消息,刻不容缓,立马放弃周末休息从家中奔赴医院,他深知此刻时间就是生命,一秒都不能拖延,几分钟就赶到科室,考虑到当时患者生命体征不稳定,呼吸困难,随时有生命危险,他立即为患者开通绿色通道。启动急诊PCI手术(急诊经皮冠状动脉介入手术)流程。一方面立马通知手术人员到位,介入室准备到位,另一方面积极与家属沟通、告知患者病情的危险性及解决方法,签署手术同意书后,迅速将患者送入介入室,为其实施了急诊PCI手术,造影显示左主干及前降支90%狭窄,远端闭塞,术中患者血压极不稳定,出现急性肺水肿呼吸困难,多次吸出粉红色泡沫样痰,反复发生室速、室颤。手术团队处乱不惊,台上多次电复律除颤后成功转复,紧急开通血管前降支,保障了手术的顺利进行。
手术现场
        经过约1小时紧张有序、争分夺秒的手术操作,以彭描宇主任为主的心内科手术团队成功将患者冠脉打通,在患者左主干及前降支植入两枚支架,支撑起闭塞的血管打通了生命线,患者胸痛症状马上有了明显改善。对照术前术后两张造影片,参加抢救的工作人员才长长地舒了一口气,紧张有序的抢救工作也告一段落了,他们疲惫的脸庞上终于露出了笑容。
        由于曾女士对病情的疏忽,未及时就医,延误长达7个小时,导致错失了最佳抢救时间,曾女士术后心衰严重合并急性肺水肿,血压依靠去甲肾上腺素维持,血氧饱和度低于70%,病情仍然非常危重,随时有呼吸心跳骤停、恶性心律失常、严重酸碱平衡紊乱等并发症发生可能,危及生命。虽然情况十分危急,但心血管内科医护团队勇于担当,迅速制定针对性治疗和护理方案,争分夺秒,实施24小时专人陪护,持续去甲维持血压,呼吸机辅助通气,改善心肌代谢等处理。
最后经过11天的精心的治疗,患者转危为安。患者出院的那天,病人及家属特地送来了锦旗,彭描宇只是微微一笑,回答到,治病救人是我们医生的天职。这不仅仅挽救的是一名患者的生命,更是挽救了一个家庭……
        彭描宇是中华医学会心血管专业委员会委员,娄星区人民医院心内科学术带头人。2007年开始从事心血管内科及心脏介入工作,有丰富的临床工作经验,成功抢救过心血管危重急诊病人数千例。擅长于冠心病、高血压病、心律失常、难治性心力衰竭、风心病、先心病等治疗和冠状动脉造影、冠状动脉成形及支架植入、心脏起搏器植入和射频消融治疗等心脏微创介入治疗技术。作为心内科的主任,彭主任深知肩上的责任重大,为了打造一支结构合理、精诚团结、医术精湛的团队,他充分发挥传帮带的作用,对年轻医务人员严格要求,手把手地教,如今已经开展各类心脏介入手术近5000例。先后获得“娄星区先进卫生工作者”、“娄星名医”、“娄底市最美医师”等称号。
返回顶部

娄星区人民医院(娄星区妇幼保健院)
官方微信

娄星区人民医院(娄星区妇幼保健院)
官方微博

娄星区人民医院(娄星区妇幼保健院)
新院区地址:湖南省娄底市小科街与丽春路交叉口处(市公安局住宅小区北面)
老院区地址:湖南省娄底市乐坪大道西265号
老院区乘车路线:公交15、18、20路区妇幼保健院站下车即到
网 址:http://www.lxqrmyy.com
急救中心:0738-8260120
医院电话:0738-8289809
娄星区人民医院(娄星区妇幼保健院)投诉监督电话:0738-8210268

娄星区人民医院(订阅号)

娄星区人民医院(服务号)

医院地址:湖南省娄底市乐坪大道西265号
新院地址:湖南省娄底市小科街与丽春路交叉口处