医院动态

医院动态

迷失自我的牙齿
作者:admin 来源:未知 发布时间:2021-09-28 浏览:

用微信扫描二维码
分享至好友和朋友圈

×
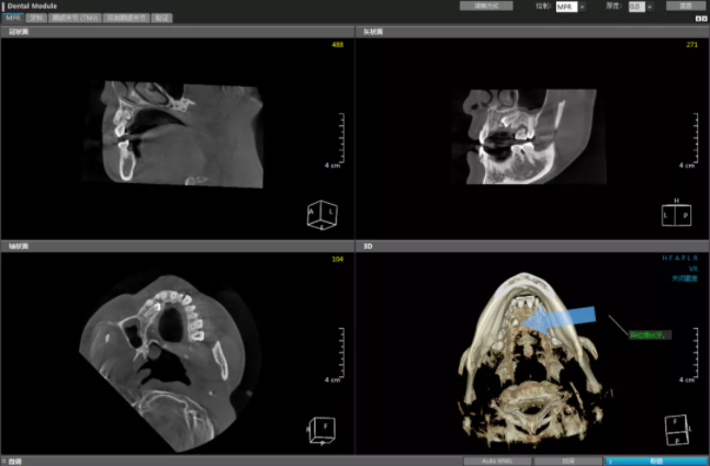
        近日,29岁的小美因为先天性牙齿缺失一颗,来到娄星区人民医院(娄星区妇幼保健院)口腔科门诊咨询种植牙情况,在口腔CT检查的3D影像图片上,她看到了惊人的一幕,原来“缺失”的那颗牙跑到了上颚,呈现“葛优躺”姿态。小美急忙询问医师该怎么办,口腔科龙晓明主任告诉她这就是那颗“缺位”的牙齿——异位埋伏牙。 
        “所谓埋伏牙,即牙齿萌出期已过而仍在颌骨组织中未能萌出的牙齿。简单点说,就是你那颗缺位的牙齿没有在正常的位置萌出,而在上腭颌骨内游走,由于位置特殊,影响矫正和种植,这种情况下需要将它拔除。”

 
        经得小美的同意后,龙晓明决定为小美实施埋伏牙拔除术,通过充分的术前准备,在局部麻醉下,切开翻瓣,去骨,显露牙冠,分牙,挺出牙根,拔牙窝清理,缝合,整个动作一气呵成,仅仅只用了半小时。
 
         龙晓明表示,埋伏牙根据具体情况,可用正畸方法牵引到正常位置,或者将其拔除,而对于某些无症状,且不影响其他治疗的埋伏牙,也可定期观察。
        哪些埋伏牙需要拔除呢?
        第一,影响其它恒牙的正常萌出,或者是造成其它牙根的吸收的埋伏多生牙,多见于上颌前部,这种情况下一定要尽早将这种埋伏的多生牙拔除;
        第二,影响到正畸的埋伏牙,多见于正畸医生制定方案前拍片发现,通过正畸医生的评估需要拔除的。
        第三,影响到种植修复的埋伏牙,由于这种埋伏阻生牙在骨内妨碍了种植治疗,所以在种植之前或种植同时把这种埋伏牙拔除。
        第四种情况是埋伏的阻生智齿,这种智齿危害是比较大的,它可能会导致牙冠周围的冠周炎,有可能会造成邻牙的牙根的吸收,有可能会造成邻牙牙槽骨的一个吸收,甚至可能会引起牙源性的肿瘤,所以对于这一类的阻生牙或者埋伏牙一定要这种预防性的拔除。 
 
 
1什么是埋伏牙? 
 
        顾名思义埋伏牙就是没有正常萌出到口腔内,埋伏阻生在上下颌骨内的牙齿,最常见就是埋伏阻生的智齿。
 
 
2埋伏牙拔除会疼吗?
 
        牙齿埋伏在骨骼中,拔除需要切开翻瓣,在进行切开翻瓣前,会注射麻药。在注射麻药过程中,会产生轻微疼痛。在拔除埋伏的多生牙过程中,无明显疼痛,基本上处于无痛状态。在麻药失效后,会出现短暂的牙龈肿痛的症状,可以口服止疼药。
返回顶部

娄星区人民医院(娄星区妇幼保健院)
官方微信

娄星区人民医院(娄星区妇幼保健院)
官方微博

娄星区人民医院(娄星区妇幼保健院)
新院区地址:湖南省娄底市小科街与丽春路交叉口处(市公安局住宅小区北面)
老院区地址:湖南省娄底市乐坪大道西265号
老院区乘车路线:公交15、18、20路区妇幼保健院站下车即到
网 址:http://www.lxqrmyy.com
急救中心:0738-8260120
医院电话:0738-8289809
娄星区人民医院(娄星区妇幼保健院)投诉监督电话:0738-8210268

娄星区人民医院(订阅号)

娄星区人民医院(服务号)

医院地址:湖南省娄底市乐坪大道西265号
新院地址:湖南省娄底市小科街与丽春路交叉口处