





媒体聚集
媒体聚集
大众卫生报·新湖南客户端7月21日讯(通讯员 刘嘉)近日,娄星区人民医院(妇幼保健院)呼吸与危重症医学科首例CT引导下的经皮肺组织穿刺活检术成功实施,不仅填补了医院在该领域的空白,更为肺癌的精准诊疗开辟了新路径。
案例聚焦:精准医疗,守护生命
71岁的患者曾爷爷,因活动时胸闷并伴有双下肢浮肿入住医院心血管内科。经胸部CT检查发现其右肺存在占位性病变,需考虑肺癌可能。为进一步明确诊断,在呼吸与危重症医学科主任李儒鹏的会诊建议下,患者顺利转入呼吸与危重症医学科。

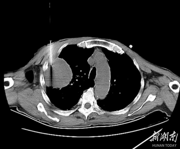
技术引领:CT引导,精准穿刺
面对复杂的病情,呼吸与危重症医学科团队迅速行动,经过对肿块位置、大小及周围血供情况的全面评估,决定采用CT引导下经皮肺穿刺活检术。这一技术利用CT的高精度成像,引导穿刺针精准定位病灶,实现了安全、有效的组织取样。医患双方充分沟通与理解后,手术顺利进行,过程流畅,患者未感明显不适,且术后无并发症发生。

科学诊断:明确病理,指导治疗
术后病理结果显示为肿瘤性病变,这一精准的诊断为患者后续的治疗提供了明确方向。CT引导下经皮肺穿刺活检术以其独特的优势,成为鉴别肺部肿块性质、明确组织类型的重要手段,针对有手术禁忌或患者拒绝手术的情况,更是展现了其重要性。

CT引导下经皮肺穿刺活检术:肺癌诊断的金钥匙
CT引导下经皮穿刺肺活检术,作为一种先进的非血管介入技术,以其创伤小、定位准确、诊断率高、并发症少等优势,在肺癌的诊断中发挥着不可替代的作用。该技术通过CT的精准引导,实现对肺部病灶的直接穿刺取样,从而获取到关键的病理组织,为肺癌的确诊提供了强有力的证据。

哪些情况需要接受此项检查?
1、肺部孤立结节或肿块:当CT检查发现肺部存在孤立结节或肿块,且性质不明时,CT引导下经皮肺穿刺活检术可帮助明确诊断。
2、 局灶性肺实变:对于支气管镜、痰细胞学检查等手段无法明确诊断的局灶性肺实变,该技术同样适用。
3、磨玻璃病变:怀疑恶性的磨玻璃病变患者,可通过此技术获取病理组织进行确诊。
4、已知恶性病变的再评估:对于已知恶性病变的患者,如需明确组织学类型或分子病理学类型,该技术可提供重要帮助。
5、疾病进展或复发后的再评估:在疾病进展或复发后,通过该技术对局部组织进行再评估,有助于制定更加精准的治疗方案。
总之,CT引导下经皮肺穿刺活检术以其独特的优势,在肺癌的诊断和治疗中发挥着重要作用。我们医院将继续致力于医疗技术的创新与发展,为更多患者带来福音。
娄星区人民医院(娄星区妇幼保健院)
官方微信
娄星区人民医院(娄星区妇幼保健院)
官方微博
娄星区人民医院(订阅号)
娄星区人民医院(服务号)